
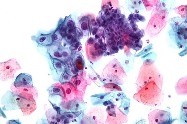
| Micrograph of a so-called "Pap smear" test for cervical cancer, showing a low-grade squamous intraepithelial lesion (LSIL) and benign endocervical mucosa. Using Raman spectroscopy in place of tranditional screening methods will improve both specificity and sensitivity, say researchers from Dublin, Ireland. Credit: Wikimedia. |
| © 2026 SPIE Europe |
|