Optics.org
daily coverage of the optics & photonics industry and the markets that it serves
Featured Showcases
Photonics West Showcase
News
Menu
Research & Development

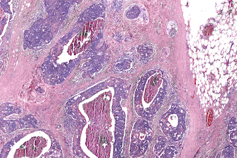
Hybrid optical and IR microscope promises faster digital biopsies

19 Feb 2020

University of Illinois at Urbana–Champaign platform could lead to all-digital solutions for cancer pathology.

A project at the University of Illinois at Urbana-Champaign (UIUC) has demonstrated how an infrared-optical hybrid (IR-OH) microscope could enable all-digital biopsy workflows to be developed for a number of tissue analysis scenarios.

The study's goal was to investigate whether a hybrid platform could retain the ease of use and universal availability of optical microscopy, while adding a wide palette of IR molecular contrast capabilities. The findings were published in PNAS.

Rohit Bhargava's group at UIUC developed its hybrid microscope by adding an infrared laser and an interference objective, the key components of an interference spectroscopy system, to an optical camera. The resulting hybrid measures infrared data while also yielding a high-resolution optical image.

"We built the hybrid microscope from off-the-shelf components," commented Martin Schnell of UIUC. "This is important because it allows others to easily build their own microscope or upgrade an existing system."

In trials, the group assessed healthy and cancerous breast cancer tissues, comparing the results of the hybrid microscope's computed dyes with those from conventional staining technique. The digital biopsy closely correlated with the traditional one, according to UICU.

In its published paper, the group commented that the IR-OH system demonstrated a four-fold increase in spatial resolution compared to conventional IR microscopy, along with an improvement in spectral consistency due to its mitigation of scattering effects.

"The combined impact of these advances allows full-slide infrared absorption images of unstained breast tissue sections on a visible microscope platform," noted the team. "We show that automated histopathologic segmentation and generation of computationally stained images is possible, resolving morphological features in both color and spatial detail comparable to current pathology protocols but without stains or human interpretation."

Optimized machine-learning programs

This advance could make IR-OH a cost-effective alternative to conventional stain-based protocols, and allow all-digital stainless pathology procedures that are a good fit with current clinical and research pathology practice.

"Infrared-optical hybrid microscopy is widely compatible with conventional microscopy in biomedical applications," said Schnell. "We combine the ease of use and universal availability of optical microscopy with the wide palette of infrared molecular contrast and machine learning. And by doing so, we hope to change how we routinely handle, image and understand microscopic tissue structure."

Future work could involve further refining the computational tools used to analyze the hybrid images. An optimized machine-learning program could ultimately be able to measure multiple infrared wavelengths, create images that readily distinguish between multiple cell types, and integrate that data with the detailed optical images to precisely map cancer within a sample.

The group also plans to explore further applications for its hybrid microscopy approach, such as forensics, polymer science and other biomedical applications.

"It is very intriguing what this additional detail can offer in terms of pathology diagnoses," said Rohit Bhargava. "This could help speed up the wait for results, reduce costs of reagents and of people to stain tissue, and provide an all-digital solution for cancer pathology."

G&HNyfors Teknologi ABUniverse Kogaku America Inc.HÜBNER PhotonicsCHROMA TECHNOLOGY CORP.LighteraOmicron-Laserage Laserprodukte GmbH
© 2026 SPIE Europe
Top of Page