Optics.org
daily coverage of the optics & photonics industry and the markets that it serves
Featured Showcases
Photonics West Showcase
News
Menu
Photonics World

Covid-19 update: 13 August 2020

13 Aug 2020

A round-up of this week's coronavirus-related news and countermeasures from the photonics industry.

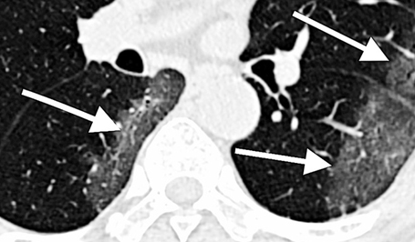
A new center hosted at the University of Chicago, and co-led by the largest medical imaging professional organizations in the country, will help tackle the ongoing Covid-19 pandemic by curating a massive database of medical images to help better understand and treat the disease.

Headed by Maryellen Giger, the A.N. Pritzker Professor of Radiology at UChicago (and Fellow Member of SPIE), and leaders from the American College of Radiology, Radiological Society of North America, and American Association of Physicists in Medicine, the new Medical Imaging and Data Resource Center will create an open-source database with medical images from thousands of Covid-19 patients. Funding is from the National Institute of Biomedical Imaging and Bioengineering at the National Institutes of Health.

"We have not sufficiently explored imaging for its role in helping us fight Covid-19, especially in terms of developing machine intelligence tools and systems," said Giger. "There currently are not enough curated data available to study. But having these top imaging organizations involved will make a difference – almost every scientist or clinician in medical imaging belongs to at least one of these organizations."

While Covid-19 will be its initial focus, the team hopes to eventually expand the MIDRC into a resource that would span diseases and disciplines, creating focused medical imaging data commons and machine intelligence pipelines for chronic and other infectious diseases.

"This effort will enable the rapid open distribution of curated Covid-19 imaging and associated data to empower a broad community of data scientists in academia, government and industry to answer, quickly and rigorously, critical questions about patient care," said Giger. "Ultimately, it will be expanded to incorporate additional data from multiple registries and repositories to support the NIH's data collection efforts, allowing researchers to address topics no single archive could inform independently."

Covid-19 pneumonia patient improves after laser treatment

Dr. Scott Sigman, principal investigator has reported positive results from the first-ever use of laser therapy to treat a Covid-19 pneumonia patient.

Published in the American Journal of Case Reports, the article shows that after supportive treatment with Photobiomodulation Therapy the patient's respiratory indices, radiological findings, oxygen requirements and outcomes improved over several days and without the need for a ventilator. The patient in the report is part of a randomized clinical pilot trial involving 10 patients with confirmed Covid-19.

In the procedure, the Multiwave Locked System laser scanner was adjusted 20 cm above the patient’s skin according to the manufacturer’s guidelines. The patient is shown (above) with his hands under his head for maximum scapular protraction. The red light is the laser machine’s guide beam on the skin. Infrared lasers with wavelengths of 808 and 905 nm are coupled in a single system, the MLS laser system.

The patient, a 57-year-old African American man diagnosed with SARS-CoV-2, was admitted to the ICU for respiratory distress and in need of oxygenation. He was treated with once-daily, 28-minute PBMT sessions for four days using an FDA-cleared (MLS) Therapy Laser, from ASA Laser, Italy. The MLS Therapy Laser is distributed in North America by Cutting Edge Laser Technologies.

Dr. Sigman commented, "Adjunct Photobiomodulation Therapy effectively treated respiratory symptoms in a severe case of Covid-19 pneumonia. We consider this therapeutic option to be a feasible supportive treatment modality. There is continued medical need for more safe and effective Covid-19 treatment options. We are hopeful that this report and subsequent study will encourage others to consider additional clinical trials with the use of adjunct PBMT for Covid-19 pneumonia."

Proving that face masks are effective

Since the Covid-19 pandemic broke out in 2019, Duke University physician Eric Westman was an early proponent of wearing face coverings as a means to curtail the spread of coronavirus, working with a local non-profit to provide free masks to at-risk populations in the region around the university, located in Durham, NC.

But Westman needed to know whether the virus-blocking claims certain mask suppliers made were true, to be sure he wasn’t providing ineffective masks. So he turned to colleagues in the Duke Department of Physics: Could someone test various masks for him?

Martin Fischer, Ph.D., a chemist and physicist, stepped up. As director of the Advanced Light Imaging and Spectroscopy facility, he normally focuses on exploring new optical contrast mechanisms for molecular imaging. For this task, he used a relatively inexpensive apparatus from common lab materials: a box, a laser, a lens, and a cell phone camera.

In a proof-of-concept study appearing in the journal Science Advances, Fischer, Westman and colleagues report that the simple, low-cost technique provided visual proof that face masks are effective in reducing droplet emissions during normal wear. “We confirmed that when people speak, small droplets get expelled, so disease can be spread by talking, without coughing or sneezing,” Fischer said. “We could also see that some face coverings performed much better than others in blocking expelled particles.”

Notably, the researchers report, the best face coverings were N95 masks without valves – the hospital-grade coverings that are used by front-line health care workers. Surgical or polypropylene masks also performed well. But hand-made cotton face coverings provided good coverage, eliminating a substantial amount of the spray from normal speech. On the other hand, bandanas and neck fleeces such as balaclavas did not block the droplets much at all.

Westman said he put the information immediately to use: “We were trying to make a decision on what type of face covering to purchase in volume, and little information was available on these new materials that were being used.” The masks that he was about to purchase for the “Cover Durham” initiative? “They were no good,” Westman said. “The notion that ‘anything is better than nothing’ didn’t hold true.”

The following Duke University video describes Fischer’s mask assessment project:

Hoth Therapeutics has announced licensing the intellectual property rights relating to the development of a medical device that could enable rapid diagnosis of Covid-19 infection via breath sample and tracking with a mobile device from George Washington University, Washington, DC. Dr. Mona Zaghloul developed the design of the device, based on prior work of other former students, in collaboration with the US National Institute of Standards and Technology, to detect and distinguish different species of gas.

The surface of the device is covered in a thin sheet of gold that can bind with other molecules, like those of a gas. Once the binding occurs, the wavelength of light bouncing off the surface changes, creating a different wavelength. The results, including the different classes of the molecules, can then be sent to the cloud by a mobile device, allowing the ability to track the data. Dr. Jeanne A. Jordan, PhD, a professor in Epidemiology at the GW Milken Institute School of Public Health, was instrumental in recognizing the potential diagnostic capabilities of the technology. As the Covid-19 pandemic spread, she suggested alterations to the device.

The researchers believe that the modified apparatus, which is as small as a strand of hair, can be coated with a solution designed to bind specifically to the SARS-CoV-2 virus that causes Covid-19. This design would allow the virus to bind to the surface, thereby allowing for the detection of an optical change that could immediately be sensed by phone cameras when an infected person's specimen is applied.

The research by Dr. Zaghloul and Dr. Jordan was funded by a Covid-19 Technology Maturation Grant from GW's Technology Commercialization Office to accelerate the development of this medical device. The device would allow communities to build trackable real-time databases of infection. People can upload information directly to the cloud.

3D optics company puts the fun into face shields

As some schools and businesses begin to reopen, 3D glasses manufacturing firm American Paper Optics, has repurposed some of its manufacturing facilities to produce simple, low-cost face shields. APO is expecting to produce 10,000 face shields per day to meet the high demand for PPE.

The company has created a new line of FDA-approved face shields called “Personal Protective Expressions” (PPE) that focus on what the firm calls “the fun side of safety.” With 12 bold graphic designs and more expected (including hearts, emojis and a bandana), there is something for everyone to express themselves and add a layer of protection.

“Covid-19 has shaken our communities. We wanted to do something that had a positive message in a time of need,” commented John Jerit, CEO. “Fun and PPE do not necessarily go together, but we certainly wanted to try. So far, the response has been great.”

G&HOmicron-Laserage Laserprodukte GmbHInfinite Optics Inc.LASEROPTIK GmbHNyfors Teknologi ABCHROMA TECHNOLOGY CORP.Hamamatsu Photonics Europe GmbH
© 2026 SPIE Europe
Top of Page