
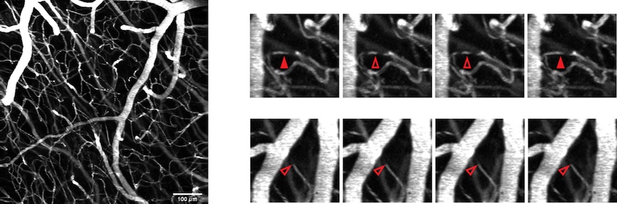
| Bessel beam two-photon microscopy can be used to visualize capillaries in the brain. (Left) Maximum intensity projection to observe capillary stalling. (Right) Representative examples of different types of stalling events. Credit: Boston University. |
| © 2026 SPIE Europe |
|