My Company
|
Advertise
|
Contact Us
daily coverage of the optics & photonics industry and the markets that it serves
Featured Showcases
Photonics West Showcase
News
Home
News
Latest News
Business News
Applications
Research & Development
Photonics World
Historical Archive
Notices
Press Releases
White Papers
Webinars
Products
Buyers Guide
Company Names
Optical Components
Laser Sources
Imaging & Detectors
Optical Test & Measurement
Laser Optics & Accessories
Software
Non-laser Light Sources
Optical Materials
Fabrication & Assembly
Vacuum
Media & Marketing
Jobs
Employers
Events
Publications
Newsletter
Product Focus
Vision Focus
AR/VR/MR Focus
Quantum Focus
Optatec Focus
Photonex Review
Show Daily
Photonics Focus
Advertise
Advertise
Resources
Return to article
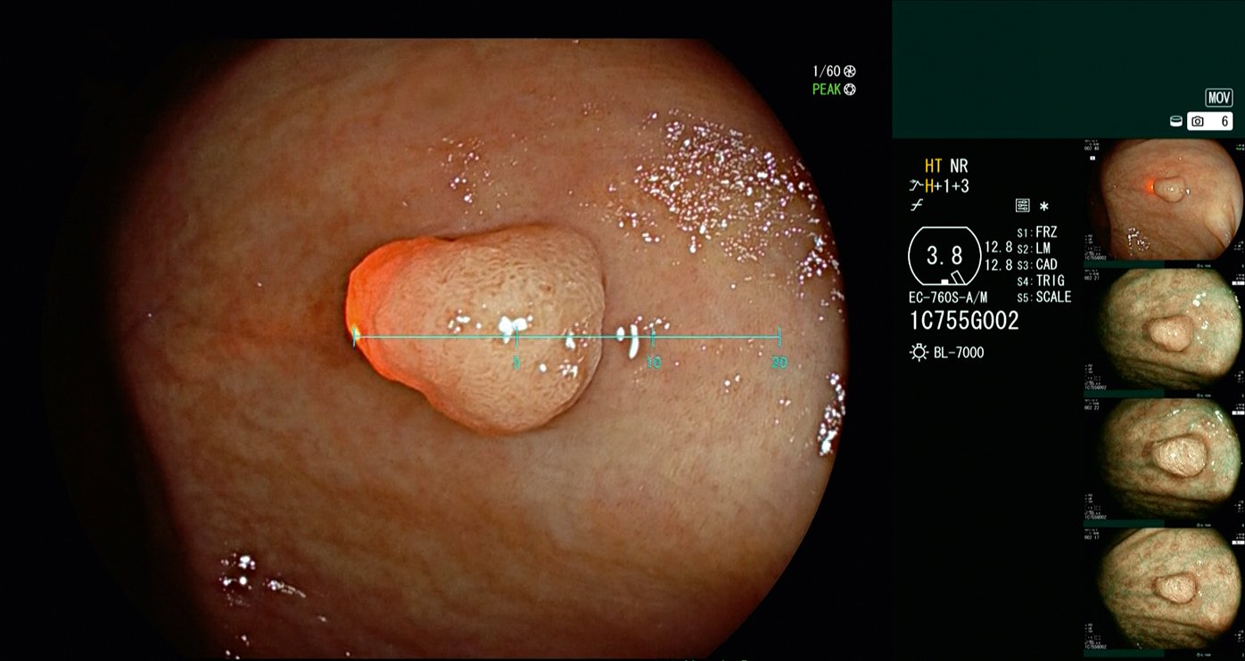
SCALE EYE presents endoscopists with a reliable objective way to assess the dimensions of colonic lesions. Credit: Fujifilm Healthcare.
© 2026
SPIE Europe
Top of Page