Optics.org
daily coverage of the optics & photonics industry and the markets that it serves
Featured Showcases
Photonics West Showcase
News
Menu
Research & Development

Mount Sinai AI improves analysis of cancer tissues

27 Aug 2025

New pipeline speeds up image processing across multiple staining technologies.

A project at New York's Icahn School of Medicine at Mount Sinai has developed a new AI tool for cancer tissue examination.

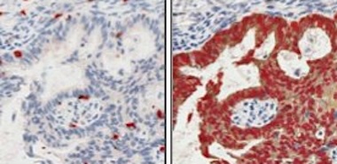
The new open-source computational analysis has been designed to "transform how cancer tissues are analyzed and help pave the way for more personalized treatments," streamlining the analysis of immunohistochemistry (IHC) and immunofluorescence (IF) images produced via fluorescence staining methods.

These tasks are largely carried out by hand, which is labor-intensive and usually limited to small areas of the tissue sample.

Described in Nature Biomedical Engineering, the AI pipeline has been named multiplex-imaging analysis, registration, quantification and overlaying, or MARQO.

While the workflows of clinical imaging technologies have become increasingly streamlined, the methodology for analyzing and producing whole-slide quantitative multiplex data remains computationally intensive with available third-party analysis tools, according to the Mount Sinai team in its paper.

MARQO builds on previous work at Mount Sinai in 2024 into an AI-driven tool specifically for the management and prognosis of prostate cancer, using deep learning to extract morphological features from datasets derived from biopsy or surgical hematoxylin- and eosin-stained whole-slide images.

"We designed MARQO to fill a major gap in the field: turning complex whole‑slide images into usable, structured data quickly and consistently," commented Mount Sinai's Sacha Gnjatic. "By automating the heavy lifting, we let experts focus on interpretation and discovery."

MARQO tackles this challenge in three key ways, said the project. First, while other tools can process entire images, they often require users to chop slides into patches or rely on costly computing clusters. MARQO keeps slides intact while still finishing the job in minutes rather than hours.

The immense promise of AI tissue analysis

Second, MARQO works with a range of common IHC and IF staining technologies, making study‑to‑study comparisons easier and boosting reproducibility. Finally MARQO automatically flags likely positive cells and assigns coordinates and marker intensities, then hands off the final validation to the pathologist, keeping human expertise at the center of the workflow.

"AI approaches hold immense promise for analysing diverse tissue types, but their implementation often demands extensive training datasets and may lack robust mechanisms to ensure signal specificity," wrote the team.

In trials using human cancer tumor samples, MARQO's performance at analysing multiplexed IHC staining was validated by comparison with manually curated pathologist determinations and quantification of multiple markers.

While MARQO is currently designed for research use and has not been validated for clinical diagnostics, its compatibility with standard clinical staining methods could enable future applications in pathology labs. The Mount Sinai team plans to expand its use in high-performance computing environments to support large-scale projects involving millions of digitized tissue slides.

"This platform could accelerate biomarker discovery, improve how we predict which patients will benefit from specific treatments, and ultimately support the development of more precise cancer diagnostics," said Sacha Gnjatic.

ESPROS Photonics AGUniverse Kogaku America Inc.G&HHÜBNER PhotonicsSacher Lasertechnik GmbHInfinite Optics Inc.Ealing UG
© 2026 SPIE Europe
Top of Page