Optics.org
daily coverage of the optics & photonics industry and the markets that it serves
Featured Showcases
Photonics West Showcase
News
Menu
Research & Development

Heriot-Watt University studies use of deep-UV for tissue ablation

27 Jan 2026

EPSRC project investigates laser ablation as surgical technique beyond cornea procedures.

A project group from Heriot-Watt University Institute of Photonics and Quantum Sciences (IPaQS) and the University of Edinburgh has studied the use of deep-UV ultrashort pulse lasers for surgical tissue ablation.

Such sources are already employed in ophthalmology, for example during LASIK surgery where an excimer laser removes corneal tissue with sub-micron precision.

But even though deep-UV sources can offer the highest axial precision and reduced collateral damage during ablation, their application for ablating soft tissues apart from the cornea remains underexplored, according to the project.

"The cornea is well suited to this technique because it is rigid, collagen-rich and the eye's surface is easy to reach with an ultraviolet laser beam," commented Tatiana Malikova from Heriot-Watt University. "There have been hardly any studies on how it might work in softer tissues, like the brain."

Some limited previous studies of ex vivo brain resection using 211-nanometer pulses had shown results not dissimilar to those found using near-IR sources, noted the team in its paper, and in at least one case led to a prototype device implementing those IR wavelengths rather than the anything in the UV region, despite the latter's potential advantages.

"Deep-UV ablation occurs only at the tissue surface and is therefore far less sensitive to beam focus variations," commented the project. "The shallow penetration of deep-UV radiation into the tissue limits heat diffusion and minimizes collateral thermal damage."

A stepping stone to clinical use

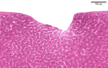
For trials described in Biomedical Optics Express the team applied deep-UV pulses to samples of lamb liver, selected as a model for less accessible tissues such as the brain: soft, mechanically weak water-rich biological tissue with low collagen content. The effects of laser pulse energy, spot size and pulse repetition rate in the ablation process were investigated.

The team achieved clean and controlled tissue removal with an axial precision of around 10 microns using a 206-nanometre, 250-femtosecond-pulse laser system. Ablation proved to be insensitive to small variations in tissue surface or minor defocusing, and under the right conditions the tissue surrounding the ablation zone showed no damage.

The work benefited from advances in imaging and optical analysis, commented the project, which previously was not good enough to see the effects of different ablation parameters clearly. Future developments in imaging and robotic guidance could also assist in translating the laser ablation technology into clinical practice.

The research is supported by the u-Care project funded by the UK Engineering and Physical Sciences Research Council (EPSRC), which is developing new compact deep-UV sources to tackle "some of the biggest challenges facing medicine: cellular-precision cancer surgery, and the emergence of drug-resistant super-bugs."

"Our end goal is to make future brain surgery more precise," commented Tatiana Malikova. "This work is a stepping stone. We used a model that allowed us to run hundreds of tests and establish exactly which laser regimes might work on soft tissue like the brain, and why."

HÜBNER PhotonicsESPROS Photonics AGHamamatsu Photonics Europe GmbHG&HEaling UGLaCroix Precision OpticsInfinite Optics Inc.
© 2026 SPIE Europe
Top of Page