Optics.org
daily coverage of the optics & photonics industry and the markets that it serves
Featured Showcases
Photonics West Showcase
News
Menu
Applications

Raman microscopy speeds brain cancer surgery

08 Feb 2017

New image processing method uses Raman data to create virtual stained specimens for diagnosis.

The potential for Raman microscopy to help surgeons rapidly identify malign tissue when treating brain cancer has been clear for some time, not least in the joint research of Harvard professor Sunney Xie, and Daniel Orringer at the University of Michigan, who are developing a stimulated Raman scattering (SRS) microscope for surgical use.

That project has now entered the operating room, with the first application of its portable fiber-laser-based SRS microscope to 101 neurosurgical patients. The findings were published in Nature Biomedical Engineering.

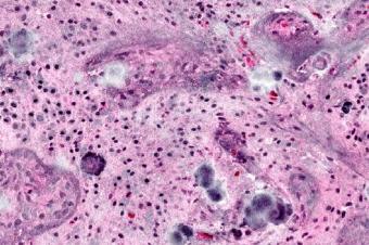
The team also applied a new image processing method termed stimulated Raman histology (SRH), which leverages SRS images to create virtual stained slides, revealing diagnostic features without the need for conventional time-consuming histopathology.

"By achieving excellent image quality in fresh tissues, we're able to make a diagnosis during surgery," commented Orringer. "This eliminates the lengthy process of sending tissues out of the OR for processing and interpretation. Our technique may disrupt the intraoperative diagnosis process in a great way, reducing it from a 30-minute process to about three minutes."

SRS microscopy differentiates between the intrinsic vibrational frequencies of various chemical bonds in proteins and lipids, allowing cell morphology and shape to be visualized without the need for chemical labeling.

In brain cancer, where cancerous tissue tends to be filled with disorganized and disordered cells, the technique can help identify the perimeter of the correct areas for excision - a vital factor, since patients who undergo surgery often suffer tumor recurrence close to the site, while the removal of healthy brain tissue can have detrimental consequences.

One hurdle to clinical use of the SRS technique has been the size and complexity of Raman microscopy platforms, which have historically required a tunable ultrafast dual-wavelength source. Since 2012 Xie and Orringer have been developing a more clinician-friendly system based on initial IP from Harvard, involving an all-fiber-laser approach and the optical synchronization of two picosecond power amplifiers. This technology is being brought to market via California-based Invenio Imaging.

Computer-aided diagnostics
In the new clinical study this imaging system was augmented by the SRH technique, which maps two specific Raman shifts - one arising from bonds in lipids and the other arising from proteins - and applies virtual coloring to highlight the cellular structures of brain tumors. According to the team's paper, fields-of-view are acquired at a speed of two seconds per frame in a mosaic pattern, before being stitched and recolored, producing an end result closely resembling traditional haematoxylin- or eosin-stained images familiar to clinicians.

Tests on 101 neurosurgical patients showed that the new technique effectively revealed the cellular and architectural features that permit differentiation of non-lesional and lesional tissues. The team noted that SRH could distinguish between the three distinct forms of pediatric cancer in a brain area called the posterior fossa, each of which requires different surgical management.

In 30 cases, neuropathologists were given specimen samples processed via either SRH or traditional methods, and proved equally likely to make a correct diagnosis in each case.

Orringer and the team are also developing a computer-aided diagnostic methodology, in which SRH images are assessed automatically by machine-learning algorithms that can spot the evidence of tumors. According to the published paper, a machine-learning process able to predict subtypes of brain tumor has been built and validated by the project, as proof-of-principle for how automated diagnostic predictions could develop.

"To date, no microscopic imaging modality tested in a clinical setting has been successful in rapidly creating diagnostic-quality images to inform intraoperative decision-making," noted the team. "By leveraging advances in optics and fiber-laser engineering, it is possible to create an SRS microscope that is easy to operate, durable and compatible with a patient care environment, which rapidly provides diagnostic histopathologic images."

University of Michigan video:

HÜBNER PhotonicsNyfors Teknologi ABLighteraIridian Spectral TechnologiesLaCroix Precision OpticsInfinite Optics Inc.Omicron-Laserage Laserprodukte GmbH
© 2026 SPIE Europe
Top of Page