Optics.org
daily coverage of the optics & photonics industry and the markets that it serves
Featured Showcases
Photonics West Showcase
News
Menu
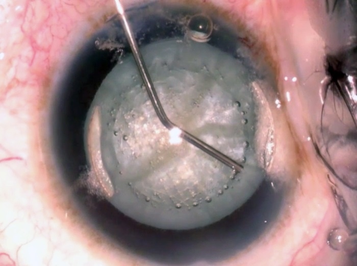
Photo-fragmentation
This image shows the photo-fragmentation step of a cataract procedure, as performed with laser equipment developed by OptiMedica - subsequently acquired by Abbott Medical Optics. However, Keranova says that cataract surgeons have found that the first generation of femtosecond laser tools has proved unable to complete this step within the narrow time window demanded by the procedure. The French startup claims that its wavefront-shaping approach is able to photo-fragment a lens with sufficient speed for an "all-in-one" operation, and is setting about developing a fully robotic tool that will require minimal human input. Photo: OptiMedica.
© 2026 SPIE Europe
Top of Page