Optics.org
daily coverage of the optics & photonics industry and the markets that it serves
Featured Showcases
Photonics West Showcase
News
Menu
Research & Development

Virtual histopathology offers route to tissue analysis during surgery

03 Nov 2021

University of Alberta optical approach produces colorized images without staining.

Histopathology of tissues and cells provides vital information for clinicians and surgeons, but the process involves staining of excised tissue samples and can take days to be carried out.

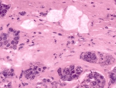
A project at the University of Alberta has demonstrated a route to high-resolution virtual microscopy images that provides equivalent visual information to that obtained with standard hematoxylin and eosin (H&E) staining, and is based on ultraviolet photoacoustic analysis.

Reported in Optics Letters, the technique could offer a way for histopathology to be carried out much more rapidly, potentially while surgical procedures are still under way.

"We envision that virtual histopathology could be used on freshly resected tumor tissues within an intraoperative setting, providing direct feedback to surgeons," said Roger Zemp of the University of Alberta. "This could potentially reduce the need for repeat surgeries, improving outcomes for individual patients and reducing healthcare costs."

The research builds on work investigating the effects of different light wavelengths on the performance of photoacoustic (PA) spectroscopy. Traditional PA methods use infrared pulses to generate transient ultrasonic signals from certain molecular species, in particular hemoglobin, and build them into an image.

Using ultraviolet light rather than infrared is one way to broaden the applications of the PA principle. In May 2017 PA pioneer Lihong Wang was involved in a project identifying tumor margins more accurately using UV-PA, exploiting the fact that such wavelengths interacted preferentially with the nuclei of cells.

A subsequent project in 2019 from Wang's Caltech group used UV and IR pulses in tandem to enhance the PA signal strength, tackling one of the technique's recognized challenges. Improving the imaging resolution by one order of magnitude in this way allowed the imaging of 300-micron-thick sections of mouse brain.

The Alberta project has now exploited the ability of ultraviolet wavelengths to interact with cell nuclei, but developed around it a technique to create colorized images of tissue samples equivalent to those that would be obtained if the cells were conventionally stained. In particular, this meant finding a way to view both the cell nuclei and cytoplasm, noted the project, and the solution involved employing pulsed ultraviolet and non-pulsed near-infrared light.

Histopathology in time-sensitive applications

"The near-infrared reflectivity reveals information about the cell cytoplasm background," said Alberta's Nathaniel Haven. "When pulsed ultraviolet light is coupled into the system, it is absorbed by cell nuclei in a way that causes sharp changes in the near-infrared reflectivity and allows cell nuclei details to be extracted from the cell cytoplasm background."

The ultraviolet beam can also provide reflectivity information that can be used to generate cytoplasm detail at much higher resolutions than is possible with just the near-infrared beam, noted Haven. However, using nanosecond-pulsed ultraviolet light to measure reflectivity at a single point on a sample is not easy with today’s image acquisition systems, and the project developed a customized peak detector circuit that holds the peak value of the reflectivity measurement so that it can be adequately sampled.

A colormap algorithm then applies realistic colors to the data, making it intuitive for surgeons to interpret the images in real time. Trials showed that virtual H&E images of unstained human breast lumpectomy tissues closely resembled true H&E-stained sections, as judged by a pathologist.

"If future validation studies are successful, we think that this approach could one day replace traditional histopathology in time-sensitive applications such as point-of-care biopsy analysis and cancer surgery," commented co-author Matthew Martell.

 A presentation by the University of Alberta at SPIE Photonics West 2022 is due to discuss the work further, along with the use of ultraviolet scattering and photoacoustic remote sensing (sPARS) microscopy, during the BIOS conference on Photons Plus Ultrasound: Imaging and Sensing.

LaCroix Precision OpticsSacher Lasertechnik GmbHOptikos Corporation LighteraHyperion OpticsInfinite Optics Inc.CHROMA TECHNOLOGY CORP.
© 2026 SPIE Europe
Top of Page