
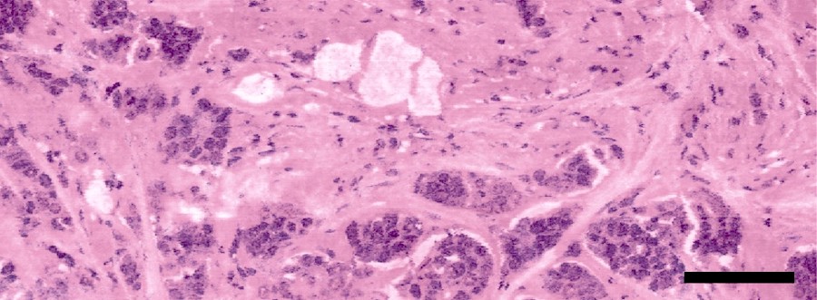
| High-resolution virtual histology images allow detailed visualization of tissue without time-consuming staining procedures. Shown is a virtual histology image of sectioned breast lumpectomy sample. Scale bar: 50 microns. Credit: Nathaniel J. M. Haven, University of Alberta. |
| © 2026 SPIE Europe |
|