Optics.org
daily coverage of the optics & photonics industry and the markets that it serves
Featured Showcases
Photonics West Showcase
News
Menu
Applications

Fundus autofluorescence reveals details of uveitis eye disease

30 Apr 2024

University Hospital Bonn and partners review how fluorescence technique can improve diagnosis of the condition.

Uveitis, or inflammation of the eye's uvea area beneath the white of the eye, is a rare disease that has proven challenging to diagnose and monitor.

A team from University Hospital Bonn (UKB) and partners including the universities of Berlin, Münster and Mannheim has now reviewed how a technique based on fundus autofluorescence (FAF) might offer a route to improved clinical care.

Published in Biomolecules, the review found FAF to be "an underestimated imaging technique" for detecting pathological abnormalities within the retina and the choroid.

Uveitis occurs in different forms depending on the precise location of the inflammation, with anterior, intermediate and posterior versions of the disease among the types that need to be imaged for comprehensive clinical care.

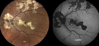
FAF can offer a route to studying the disease in all its forms, since it detects autofluorescence not only from the lipofuscin pigment found in the eye's retinal pigment epithelium (RPE) layer, but also other intrinsic fluorophores that may appear as a result of the pathologic processes underway.

This means that FAF can provide indications of where active inflammation is occurring, potentially crucial diagnostic information for clinicians made available in a more straightforward way than traditional fluorescein angiography, which requires the injection of a die into the blood stream.

"Using light of a precisely defined wavelength, fluorophores in the tissue of the eye are stimulated to glow," said report co-author Maximilian Wintergerst from the Eye Clinic at UKB. "The distribution of these fluorophores, the intensity of the light signal, and certain resulting light patterns can provide information about the underlying form of uveitis."

Tracking the markers of disease activity

The study determined that FAF is a reliable method for detecting atrophy of the RPE layer, which can be more difficult to delineate with other imaging modalities, according to the researchers. And FAF is not only useful for identification of damaged RPE, but also for monitoring of retinal lesions and scars.

This means it may reveal markers of broader disease activity, allowing clinicians to monitor the course of those lesions and better predict disease prognosis.

The FAF technique can also be versatile, since using different wavelengths of light can reveal different different details of uveitis and the tissues within which it is occurring.

"Depending on the wavelength used, the autofluorescence signal from the retina and choroid can differ significantly," commented Matthias Mauschitz, head of the uveitis clinic at UKB. "Lesions can be imaged at different depths and therefore in different areas, depending on the excitation wavelength."

The UKB review compared the autofluorescence produced by different incident wavelengths and found that a combination of wavelengths can yield additional information about the underlying forms of uveitis.

"FAF can aid diagnosing, distinction, and monitoring of different uveitis entities, especially as part of a multimodal imaging approach," concluded the authors. "Applicability of FAF in uveitis is even greater when using a combination of short- and long-wavelength illumination."

Hyperion OpticsLaCroix Precision OpticsOmicron-Laserage Laserprodukte GmbHLASEROPTIK GmbHAlluxaIridian Spectral TechnologiesNyfors Teknologi AB
© 2026 SPIE Europe
Top of Page