
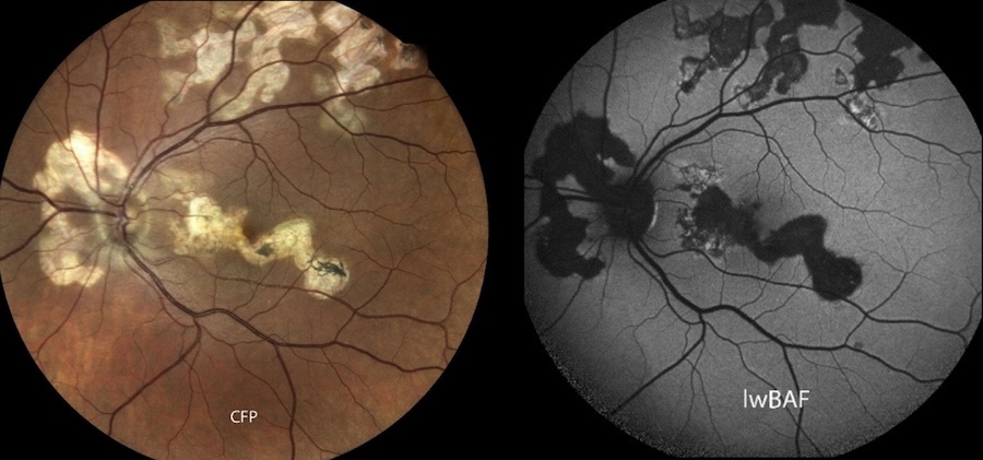
| An eye affected by the rare serpiginous chorioretinopathy. The name comes from the snake-like spread of the disease across the retina. The ocular fundus photograph (left) shows areas of scarring in a light yellow tone. Active inflammatory lesions usually appear as light-colored areas on fundus autofluorescence (right). Credit: University Hospital Bonn. |
| © 2026 SPIE Europe |
|